Prosit! Mand flår luftrør i stykker, fordi han undertrykker nys

LÆS OGSÅ: Kvinde fik tæv for at nyse
Det er højsæson for influenza, forkølelse og andre luftvejsinfektioner, og det vrimler med folk, der både hoster og nyser.
Det kan være ildeset at nyse i offentligheden, da det kan sprede bakterier og vira, men det kan også være yderst farligt at undertrykke nys. Det bevidner denne historie om en uheldig britisk mand om.
Det er BMJ Case Reports, der kan berette om en unavngiven mand i 30'erne, der undertrykte sit nys så meget, at han fik en voldsom skade.
Ifølge tidsskriftet kørte manden i bil, da han kunne mærke, at et nyseanfald var under opsejling. Han klemte derfor fingrene om næsen og kneb munden sammen for at undertrykke nyseanfaldet.
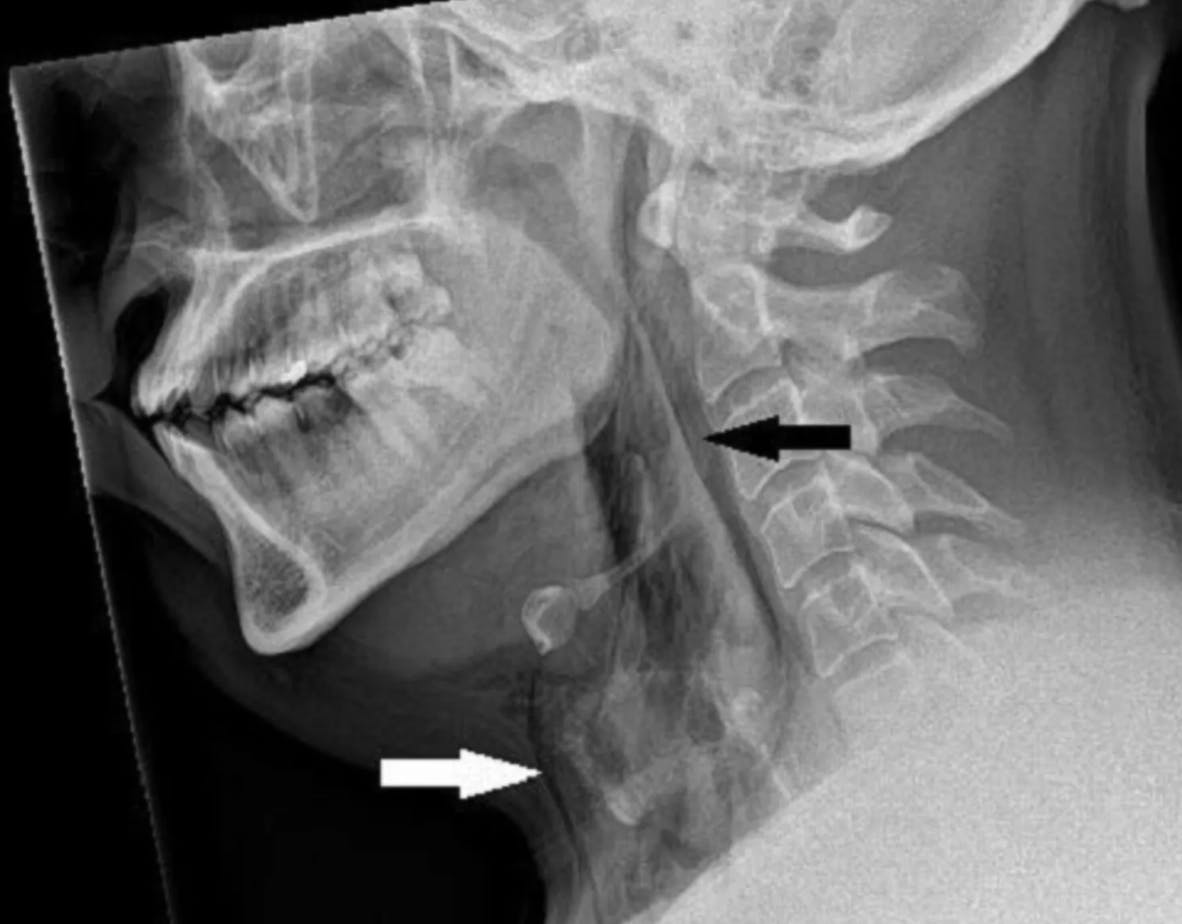
Straks efter begyndte manden at føle voldsomme smerter i halsregionen. Faktisk var smerterne så voldsomme, at han blev bragt til Ninewells Hospital i Dundee i Skotland, fordi hans hals hævede op, og han ikke kunne dreje hovedet.
Manden, der har høfeber og altså ofte døjer med snue, blev både røntgenfotograferet og CT-scannet, og her fandt lægerne ud af, hvorfor manden havde så stærke symptomer fra halsregionen.

Ved at undertrykke sit nys blev trykket mod mandens øvre luftveje op mod 20 gange højere end normalt, og den store kraft havde revet hans luftrør i stykker.
Det er yderst sjældent, det sker, men lidelsen kan potentielt være livsfarlig, lyder det i BMJ Case Reports.
I mandens tilfælde var det dog ikke så grelt, så han fik smertestillende medicin og et middel mod høfeber, og han blev udskrevet efter 48 timer med besked om ikke at foretage anstrengende arbejde i to uger.
Fem uger efter blev manden scannet igen, og her kunne lægerne se, at luftrøret var helet igen.
Nys – altid!
Udover et iturevet spiserør kan der forekomme andre skader ved at undertrykke nys: Man kan sprænge trommehinden, blodkar i næse og øjne kan briste, og man kan risikere at brække ribben.
Doktor Rasads Misirovs, der har beskrevet den uheldige mands sygdomsforløb, siger til BBC Scotland News, at man altid skal lukke sine nys ud:
– Vi skal nænsomt dække vores ansigter med enten hånden eller indersiden af albuen for at forhindre, at irritanter, såsom vira, sammen med spyt og slim når ud til vores omgivelser, lyder rådet fra dr. Misirovs.