
Bizar ulykke: Mand sluger en HEL Nokia 3310-telefon

Lægerne på et hospital i Pristina i Kosovo fik en noget usædvanlig patient i ad døren mandag sidste uge.
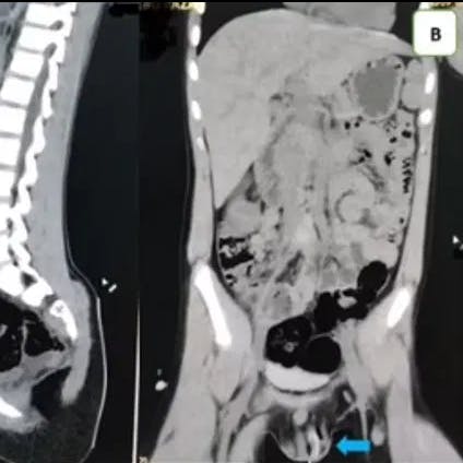
En 33-årig mand havde mavesmerter, og et røntgenfoto afslørede, at en noget overraskende genstand af uforklarlige årsager var endt i hans mave.
Intet mindre end end en hel Nokia 3310-telefon havde manden formået at sluge, og den sad nu fast i hans maveregion og forårsagede smerter - hvilket den havde gjort i fire dage.
For de uindviede er en Nokia 3310-telefon en model, som man blandt andet spillede Snake-spil på i timevis i "gamle dage", inden der var noget, der hed iPhone.
Lægerne måtte straks få fjernet telefonen, for hvis mavesyren ætsede sig ind til batteriet, kunne det være dødeligt for manden.
Ved hjælp af endoskopi slap lægerne for at åbne manden ved en operation, og de kunne fiske telefonen op i tre dele fra mandens bug.
Lægen Skender Teljaku har efterfølgende delt det usædvanlige fund på sin Facebook og oplyser i samme ombæring, at indgrebet foregik uden komplikationer.
Se flere billeder herunder:

