
Bizar penisskade: Teenager får USB-kabel sat fast i sin penis

Herhjemme anvender vi oftest et målebånd, når vi skal måle længden af diverse ting.

Men i England valgte en teenager at bruge et USB-kabel, da han skulle måle længe af sin penis.
Og det gik grueligt galt.
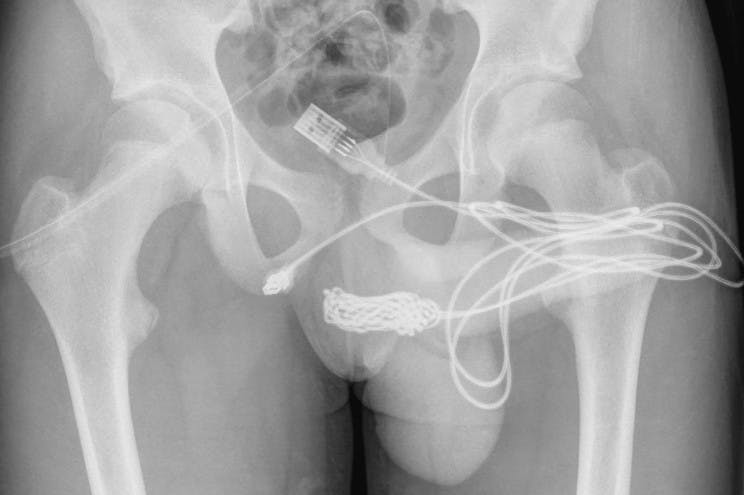
Den britiske dreng måtte nemlig igennem en nødoperation, da hans vanvittige forsøg på at måle sin penis resulterede i, at et USB-kabel sad fast i hans urinrør. Det viser en rapport offentliggjort af Science Direct.
Det var angiveligt ren og skær seksuel nysgerrighed, der fik den 15-årige til at foretage eksperimentet. Men efter han havde begyndt at indsætte USB-kablet, skete der det, der ikke måtte ske.
Kablet blev nemlig viklet sammen i teenagerens pung, og det var ikke den til kontanter og kort. Han forsøgte herefter at få kablet ud af sin penis. Men ligegyldigt hvor meget han forsøgte, ville kablet bare ikke forlade hans ædlere dele.
”Kan mor forlade rummet?”
Den 15-årige måtte opgive at løse ”kabelproblemerne” selv, og han tog kontakt til familien. Og da han begyndte at tisse blod, kørte familien ham på det lokale hospital.

Bizar sexulykke: Mand proppede seks bønner op i penis
Heller ikke på det lokale hospital var de i stand til at frakoble drengen, og han blev herefter transporteret til University College Hospital i London for at se, om de ikke kunne klare at løsrive ham fra det noget alternative målebånd.
Ifølge rapporten skulle den flove dreng angiveligt her havde spurgt lægerne, om ikke han kunne få lov at snakke med dem, uden at moderen var til stede. Og efterfølgende erkendte han sit eksperiment over for dem.

Foto: Urology Case Reports, Lægerne var nødsaget til at klippe kablet over for at fjerne det.
På dette hospital lykkedes det lægerne at fjerne USB-kablet fra den 15-årige, efter de klippede kablet over, og herefter fjernede delene fra drengens lem.
Heldigvis lykkedes det lægerne at sørge for, at drengen kommer sig helt ovenpå sit fejlslagne eksperiment.
Han skal dog 14 dage efter til scanning, hvor de skal følge op på hændelsen og potentielle fremtidige skader. Og drengen skal dog også selv holde øje med den i fremtiden.
Om drengen fik svar på tiltale, melder rapporten intet om.
