
Du gætter aldrig hvad dette er

Du vidste godt, at klitoris er følsom. Det er derfor, den skal behandles yderst varsomt, og det er derfor, at langt de flest kvinder primært får orgasme ved stimulation af klitoris.
Og nu slår ny forskning det fast, idet man har påvist, at klitten har over 10.000 nerveender. Hvilket er 20 procent flere end hvad man ellers har beregnet.
Her er de blideste stimulatorer til klitoris
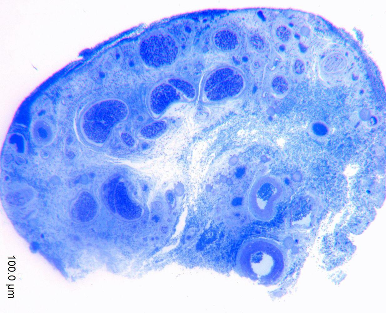
Kirurgen Blair Peters fik fat i klitorisnervevæv fra syv frivillige patienter. Vævet blev lagt under et mikroskop, der forstørrede det 1000 gange. Og med lidt smart software kunne Peters og hans kollegaer tælle hver enkelt nervefiber:
Det er det billede, du kan se over artiklen.

Klitoris
Klitoris er det eneste organ, der så vidt vides kun har til formål at give nydelse. Den synlige del af klitoris, glans, der givetvis er den mest sensitive del, udgør kun en lille del af klitten. Resten befinder sig inde i kroppen, hvor det blandt andet omkranser skedeindgangen.

Dorsal-nerven, som er hovedvejen for klitorisnervefibrene, løber langs begge sider af klitoris. Og da hver side ifølge Blairs beregninger har 5140 nervespidser, er det samlede antal til 10281 - i gennemsnit.
Den kraftige tryllestav sikrer klitorisorgasmen
- Det er forbløffende at tænke på, at mere end 10.000 nervefibre kan være koncentreret på noget så småt som klitoris, siger Blair Peters. Det er især overraskende, når man sammenligner klitoris med andre større strukturer; fx er mediannerven, der løber gennem håndled og hånd, kendt for at være meget nervefibertæt. Og selvom hånden er meget, meget større end klitoris, har mediannerven kun cirka 18.000 - to gange færre end den meget mindre klitoris.

Blair Peter, der specialiserer sig i kønskorrigerende kirurgi på Oregon Health & Science University, oplyser, at klitorisvævet kommer fra transmaskuline kvinder, som var lagt under kvinden for at blive mænd. Og her vil han altså bruge sin nye viden op klitoris til dannelsen af penis på transmaskuline kvinder. Man bruger nemlig dele af vævet fra klitoris til penis.
Og således er kirurgens næste skridt at tælle nervefibre i penis og især i glans, der svarer til klitorisglans.
