20-årig mand indlagt på intensiv: Onanerede for voldsomt

Da en 20-årig mand meldte sin ankomst på skadestuen på et hospital i den schweiziske by Winthertur, stod lægerne over for lidt af et mysterium.
Manden klagede over smerter i brystet, ligesom han havde svært ved at trække vejret.
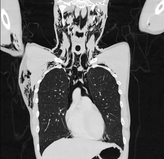
Røntgenbilleder viste, at manden havde fået spontan pneumomediastinum (SPM). Det er en sjælden lidelse, hvor luft siver ud af lungerne og sidder fast i bindevævet mellem lungerne.
De hyppigste årsager til SPM er voldsom hoste, overdreven opkast og anstrengende fysisk træning.
Men da den unge mand ikke havde foretaget sig nogle af delene, var forklaringen på hans lidelse fortsat et mysterium.
Lægerne kategoriserede hans SPM som "voldsom", da en stor mængde luft havde hobet sig op i hans væv. Efterfølgende opdagede lægerne, at luften var vandret op i hans hals og hoved, så hans ansigt svulmede op.
Manden måtte krybe til korset og erkende, at den seneste "fysiske anstrengelse", han havde udsat sig for, var en voldsom omgang onani.
Den unge schweizer blev indlagt på intensiv, hvor han blev behandlet med ilt, smertestillende medicin og antibiotika.
Efter en dag på intensiv blev han overført til en normal stue, og efter tre dage blev han udskrevet.
– Siden der ikke er nogen litteratur om spontan pneumomediastinum forårsaget af masturbation, betragter vi vores sag som en usædvanlig sag af sin slags, konkluderer lægerne i Radiology Case Reports.