35-årig fik et chok: Pludselig blev hans penis sort

En patient kom på hospitalet med ulidelige smerter.
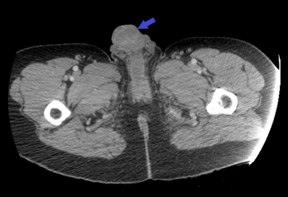
Pludselig begyndte hans penis at blive sort og forrådne.
Udover at manden, hvis navn ikke er offentliggjort, kom med sortfarvet penis, så kom han også til hospitalet med en lugt.
En ildelugtende en af slagsen.
Tre dage forinden havde manden nemlig indsprøjtet kokain i sin penis. Og det fortryder han med garanti i dag.
Lægerne på hospitalet kunne hurtigt erklære, at mandens penis var gået i forrådnelse.
Huden omkring hans pung var også begyndt at rådne og skalle fra bunden af mandens penis.
Spøjs indsprøjtning
Patienten indrømmede, at han havde indsprøjtet kokain i en blodåre i sine ædlere dele.
Han ville dog ikke indrømme, hvorfor han gjorde det.
Det står der i journalen fra BronxCare Hospital.
I journalen er der også tilføjet billeder, som viser, hvordan mandens penis reagerede efter indsprøjtningen.
De billeder har vi dog valgt at skåne jer for. Men de kan findes i journalen.
Manden fik det stille og roligt bedre, efter at lægerne i fem dage havde haft ham i antibiotikadrop.
Herefter gav lægerne ham en tidages pillekur, da han blev blev udskrevet.
I journalen står der også, at manden nægtede at gå i behandling for sit stofmisbrug, og de hørte ikke fra ham i forbindelse med opfølgningen.
Derfor er det står uklart, om han er kommet sig helt, og om den virker igen.